A問題
| タイトル:120A-42 | コメント数:5 |
1:
b
2:
閉塞隅角緑内障でアトロピンが禁忌
3: 神代あすか
【解説】アプローチ
①85歳の女性
②左眼痛と頭痛
③昨夜から左眼の視力低下と激しい頭痛
④悪心と嘔吐もあり
⑤視力は右眼 0.2 (1.2 × +3.50 D)、左眼手動弁 (矯正不能)
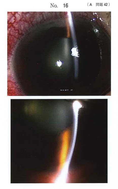
画像診断 別冊No. 16の細隙灯顕微鏡写真(上図)では、毛様充血が著明に認められる。前房は狭く、瞳孔径は約5mmで中等度の散大である。虹彩に当たっている細隙光はやや曲線を示しており、これは瞳孔ブロックが生じた結果、虹彩が膨隆していることを意味する。下図では虹彩からの徹照光によって角膜の混濁(角膜上皮浮腫)が観察されている。
診断名 左原発閉塞隅角症(緑内障性視神経症がもしあれば、原発閉塞隅角緑内障)
a × 瞳孔括約筋の賦活化により、瞳孔ブロックが解除されうる。
b × 瞳孔ブロックに対して、現在最も多く行われている根治療法である。
c 〇 抗コリン薬であるため、原発閉塞隅角症には禁忌である。
d × 強力な硝子体圧下降作用があるため、原発閉塞隅角症に有効である。
e × 房水産生抑制作用があるため、原発閉塞隅角症に有効である。
正解:c
4:
cですね。
縮瞳薬か散瞳薬かのひっかけです。
5: Dr.I
cです。
禁忌の治療です。
| 番号 | タイトル | コメント数 | |
|---|---|---|---|
| 1 | 120A-1 | 13 | 注目 |
| 2 | 120A-2 | 6 | チョイ割 |
| 3 | 120A-3 | 8 | |
| 4 | 120A-4 | 11 | チョイ割 注目 |
| 5 | 120A-5 | 5 | |
| 6 | 120A-6 | 14 | チョイ割 注目 |
| 7 | 120A-7 | 8 | |
| 8 | 120A-8 | 8 | |
| 9 | 120A-9 | 22 | 注目 |
| 10 | 120A-10 | 6 | |
| 11 | 120A-11 | 7 | 割問 |
| 12 | 120A-12 | 7 | |
| 13 | 120A-13 | 5 | |
| 14 | 120A-14 | 8 | |
| 15 | 120A-15 | 8 | |
| 16 | 120A-16 | 7 | |
| 17 | 120A-17 | 6 | |
| 18 | 120A-18 | 7 | |
| 19 | 120A-19 | 9 | |
| 20 | 120A-20 | 7 | |
| 21 | 120A-21 | 6 | |
| 22 | 120A-22 | 8 | |
| 23 | 120A-23 | 10 | 割問 注目 |
| 24 | 120A-24 | 8 | |
| 25 | 120A-25 | 6 | |
| 26 | 120A-26 | 9 | 割問 |
| 27 | 120A-27 | 5 | |
| 28 | 120A-28 | 6 | チョイ割 |
| 29 | 120A-29 | 6 | |
| 30 | 120A-30 | 22 | チョイ割 注目 |
| 31 | 120A-31 | 6 | |
| 32 | 120A-32 | 9 | チョイ割 |
| 33 | 120A-33 | 6 | |
| 34 | 120A-34 | 5 | |
| 35 | 120A-35 | 5 | |
| 36 | 120A-36 | 4 | |
| 37 | 120A-37 | 5 | |
| 38 | 120A-38 | 9 | 割問 |
| 39 | 120A-39 | 7 | |
| 40 | 120A-40 | 6 | |
| 41 | 120A-41 | 8 | チョイ割 |
| 42 | 120A-42 | 5 | |
| 43 | 120A-43 | 4 | |
| 44 | 120A-44 | 4 | |
| 45 | 120A-45 | 5 | チョイ割 |
| 46 | 120A-46 | 5 | |
| 47 | 120A-47 | 3 | |
| 48 | 120A-48 | 5 | |
| 49 | 120A-49 | 4 | |
| 50 | 120A-50 | 9 | |
| 51 | 120A-51 | 6 | |
| 52 | 120A-52 | 4 | |
| 53 | 120A-53 | 5 | |
| 54 | 120A-54 | 9 | チョイ割 |
| 55 | 120A-55 | 6 | |
| 56 | 120A-56 | 4 | |
| 57 | 120A-57 | 9 | 割問 |
| 58 | 120A-58 | 3 | |
| 59 | 120A-59 | 7 | 割問 |
| 60 | 120A-60 | 4 | |
| 61 | 120A-61 | 4 | |
| 62 | 120A-62 | 6 | |
| 63 | 120A-63 | 3 | |
| 64 | 120A-64 | 3 | |
| 65 | 120A-65 | 6 | |
| 66 | 120A-66 | 7 | |
| 67 | 120A-67 | 9 | 割問 |
| 68 | 120A-68 | 3 | |
| 69 | 120A-69 | 5 | |
| 70 | 120A-70 | 3 | 割問 |
| 71 | 120A-71 | 3 | 割問 |
| 72 | 120A-72 | 3 | |
| 73 | 120A-73 | 12 | チョイ割 |
| 74 | 120A-74 | 9 | |
| 75 | 120A-75 | 8 |

