C問題
| タイトル:116C-64 | コメント数:2 |
1: うろうろ
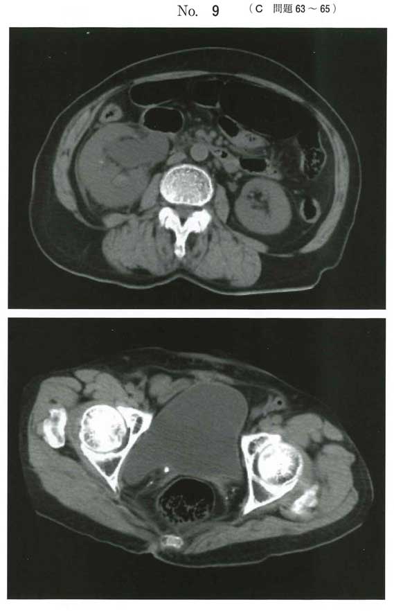
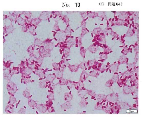
cです。泌尿器科医です。GNRにて大腸菌が正解です。
2: なしかす@感染症
グラム陰性桿菌であるためこの時点でc, eに絞られます。
Escherichia coli(大腸菌)は通性嫌気性菌で好気・嫌気ボトルとも発育する可能性が高い(更に言うと嫌気ボトルの方が早く発育しやすい)ですが、Pseudomonas aeruginosa(緑膿菌)は好気性を示すため、菌量が極めて多いなど特別な状況を除いては嫌気ボトルには発育しません。グラム染色像でも太い桿菌が観察されていることも併せ、cが正解と思われます。
| 番号 | タイトル | コメント数 | |
|---|---|---|---|
| 1 | 116C-1 | 3 | |
| 2 | 116C-2 | 5 | |
| 3 | 116C-3 | 2 | |
| 4 | 116C-4 | 2 | |
| 5 | 116C-5 | 4 | 割問 |
| 6 | 116C-6 | 2 | |
| 7 | 116C-7 | 2 | |
| 8 | 116C-8 | 2 | |
| 9 | 116C-9 | 3 | |
| 10 | 116C-10 | 3 | |
| 11 | 116C-11 | 2 | |
| 12 | 116C-12 | 2 | |
| 13 | 116C-13 | 2 | |
| 14 | 116C-14 | 1 | |
| 15 | 116C-15 | 4 | 割問 |
| 16 | 116C-16 | 2 | チョイ割 |
| 17 | 116C-17 | 2 | |
| 18 | 116C-18 | 3 | |
| 19 | 116C-19 | 5 | チョイ割 |
| 20 | 116C-20 | 3 | |
| 21 | 116C-21 | 3 | 割問 |
| 22 | 116C-22 | 5 | チョイ割 |
| 23 | 116C-23 | 18 | チョイ割 注目 |
| 24 | 116C-24 | 1 | |
| 25 | 116C-25 | 2 | |
| 26 | 116C-26 | 2 | |
| 27 | 116C-27 | 1 | |
| 28 | 116C-28 | 2 | |
| 29 | 116C-29 | 2 | 割問 |
| 30 | 116C-30 | 4 | 割問 |
| 31 | 116C-31 | 1 | |
| 32 | 116C-32 | 4 | 割問 |
| 33 | 116C-33 | 3 | |
| 34 | 116C-34 | 3 | |
| 35 | 116C-35 | 5 | |
| 36 | 116C-36 | 6 | 割問 |
| 37 | 116C-37 | 1 | |
| 38 | 116C-38 | 1 | |
| 39 | 116C-39 | 7 | |
| 40 | 116C-40 | 2 | |
| 41 | 116C-41 | 2 | |
| 42 | 116C-42 | 5 | |
| 43 | 116C-43 | 4 | |
| 44 | 116C-44 | 4 | |
| 45 | 116C-45 | 2 | |
| 46 | 116C-46 | 2 | |
| 47 | 116C-47 | 3 | |
| 48 | 116C-48 | 2 | |
| 49 | 116C-49 | 1 | |
| 50 | 116C-50 | 6 | チョイ割 |
| 51 | 116C-51 | 1 | |
| 52 | 116C-52 | 3 | 割問 |
| 53 | 116C-53 | 2 | チョイ割 |
| 54 | 116C-54 | 2 | |
| 55 | 116C-55 | 3 | |
| 56 | 116C-56 | 2 | |
| 57 | 116C-57 | 6 | 割問 |
| 58 | 116C-58 | 1 | |
| 59 | 116C-59 | 5 | 割問 |
| 60 | 116C-60 | 1 | |
| 61 | 116C-61 | 1 | |
| 62 | 116C-62 | 6 | 割問 |
| 63 | 116C-63 | 3 | チョイ割 |
| 64 | 116C-64 | 2 | |
| 65 | 116C-65 | 2 | |
| 66 | 116C-66 | 2 | |
| 67 | 116C-67 | 1 | |
| 68 | 116C-68 | 1 | |
| 69 | 116C-69 | 1 | |
| 70 | 116C-70 | 1 | |
| 71 | 116C-71 | 4 | |
| 72 | 116C-72 | 9 | |
| 73 | 116C-73 | 4 | |
| 74 | 116C-74 | 1 | |
| 75 | 116C-75 | 3 |



