C問題
| タイトル:116C-63 | コメント数:3 | チョイ割 |
1: 納豆
d ∵SI>1 たきってて血圧も低いからまず補液
2: うろうろ
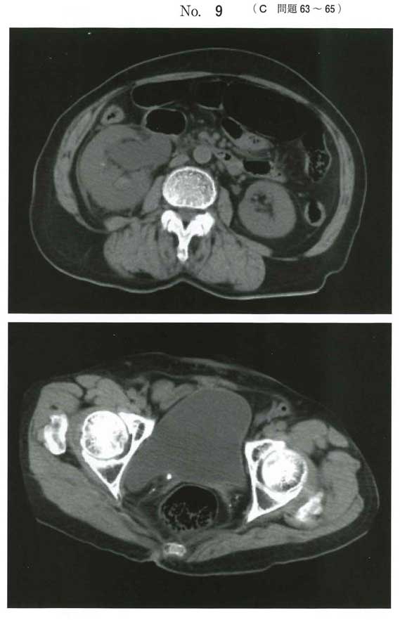
dです。泌尿器科医です。右尿管結石による閉塞性腎盂腎炎です。qSOFA 2点にて敗血症を疑います。細胞外液の投与、血液培養採取後に抗菌薬投与、その後可及的速やかに尿管ステント留置です。
3: みそしる
d
eみたいな紛らわしい選択肢は如何なものか。
もちろんeはERでやることではないし輸液が先なのは分かるが、穿った見方をすればeだって入院後に「最初に行うべき」治療なわけだし、できればダミー選択肢は「ERでできること」で固めて欲しいものである。
| 番号 | タイトル | コメント数 | |
|---|---|---|---|
| 1 | 116C-1 | 3 | |
| 2 | 116C-2 | 5 | |
| 3 | 116C-3 | 2 | |
| 4 | 116C-4 | 2 | |
| 5 | 116C-5 | 4 | 割問 |
| 6 | 116C-6 | 2 | |
| 7 | 116C-7 | 2 | |
| 8 | 116C-8 | 2 | |
| 9 | 116C-9 | 3 | |
| 10 | 116C-10 | 3 | |
| 11 | 116C-11 | 2 | |
| 12 | 116C-12 | 2 | |
| 13 | 116C-13 | 2 | |
| 14 | 116C-14 | 1 | |
| 15 | 116C-15 | 4 | 割問 |
| 16 | 116C-16 | 2 | チョイ割 |
| 17 | 116C-17 | 2 | |
| 18 | 116C-18 | 3 | |
| 19 | 116C-19 | 5 | チョイ割 |
| 20 | 116C-20 | 3 | |
| 21 | 116C-21 | 3 | 割問 |
| 22 | 116C-22 | 5 | チョイ割 |
| 23 | 116C-23 | 18 | チョイ割 注目 |
| 24 | 116C-24 | 1 | |
| 25 | 116C-25 | 2 | |
| 26 | 116C-26 | 2 | |
| 27 | 116C-27 | 1 | |
| 28 | 116C-28 | 2 | |
| 29 | 116C-29 | 2 | 割問 |
| 30 | 116C-30 | 4 | 割問 |
| 31 | 116C-31 | 1 | |
| 32 | 116C-32 | 4 | 割問 |
| 33 | 116C-33 | 3 | |
| 34 | 116C-34 | 3 | |
| 35 | 116C-35 | 5 | |
| 36 | 116C-36 | 6 | 割問 |
| 37 | 116C-37 | 1 | |
| 38 | 116C-38 | 1 | |
| 39 | 116C-39 | 7 | |
| 40 | 116C-40 | 2 | |
| 41 | 116C-41 | 2 | |
| 42 | 116C-42 | 5 | |
| 43 | 116C-43 | 4 | |
| 44 | 116C-44 | 4 | |
| 45 | 116C-45 | 2 | |
| 46 | 116C-46 | 2 | |
| 47 | 116C-47 | 3 | |
| 48 | 116C-48 | 2 | |
| 49 | 116C-49 | 1 | |
| 50 | 116C-50 | 6 | チョイ割 |
| 51 | 116C-51 | 1 | |
| 52 | 116C-52 | 3 | 割問 |
| 53 | 116C-53 | 2 | チョイ割 |
| 54 | 116C-54 | 2 | |
| 55 | 116C-55 | 3 | |
| 56 | 116C-56 | 2 | |
| 57 | 116C-57 | 6 | 割問 |
| 58 | 116C-58 | 1 | |
| 59 | 116C-59 | 5 | 割問 |
| 60 | 116C-60 | 1 | |
| 61 | 116C-61 | 1 | |
| 62 | 116C-62 | 6 | 割問 |
| 63 | 116C-63 | 3 | チョイ割 |
| 64 | 116C-64 | 2 | |
| 65 | 116C-65 | 2 | |
| 66 | 116C-66 | 2 | |
| 67 | 116C-67 | 1 | |
| 68 | 116C-68 | 1 | |
| 69 | 116C-69 | 1 | |
| 70 | 116C-70 | 1 | |
| 71 | 116C-71 | 4 | |
| 72 | 116C-72 | 9 | |
| 73 | 116C-73 | 4 | |
| 74 | 116C-74 | 1 | |
| 75 | 116C-75 | 3 |


