F問題
| タイトル:120F-47 | コメント数:3 |
1: 通りすがりの黒閃
c
2: Dr.I
cです。
3:
c
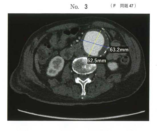
ステントグラフト治療は、高齢者や高リスク患者に対する大動脈瘤(腹部5cm以上、胸部6cm以上目安)の低侵襲治療として適しています。90歳以上でも全身状態が良ければ可能で、足の付け根から挿入し、体への負担が少なく、入院期間も短いのが最大の特徴です。
| 番号 | タイトル | コメント数 | |
|---|---|---|---|
| 1 | 120F-1 | 2 | |
| 2 | 120F-2 | 2 | |
| 3 | 120F-3 | 1 | |
| 4 | 120F-4 | 2 | |
| 5 | 120F-5 | 3 | |
| 6 | 120F-6 | 7 | 割問 |
| 7 | 120F-7 | 1 | |
| 8 | 120F-8 | 1 | |
| 9 | 120F-9 | 1 | |
| 10 | 120F-10 | 3 | |
| 11 | 120F-11 | 3 | |
| 12 | 120F-12 | 1 | |
| 13 | 120F-13 | 1 | |
| 14 | 120F-14 | 7 | 割問 |
| 15 | 120F-15 | 1 | |
| 16 | 120F-16 | 2 | |
| 17 | 120F-17 | 3 | |
| 18 | 120F-18 | 2 | |
| 19 | 120F-19 | 2 | |
| 20 | 120F-20 | 3 | 割問 |
| 21 | 120F-21 | 2 | |
| 22 | 120F-22 | 2 | |
| 23 | 120F-23 | 3 | |
| 24 | 120F-24 | 2 | |
| 25 | 120F-25 | 3 | |
| 26 | 120F-26 | 2 | |
| 27 | 120F-27 | 2 | |
| 28 | 120F-28 | 4 | 割問 |
| 29 | 120F-29 | 2 | |
| 30 | 120F-30 | 2 | |
| 31 | 120F-31 | 2 | |
| 32 | 120F-32 | 2 | |
| 33 | 120F-33 | 2 | |
| 34 | 120F-34 | 3 | |
| 35 | 120F-35 | 3 | |
| 36 | 120F-36 | 3 | |
| 37 | 120F-37 | 2 | |
| 38 | 120F-38 | 2 | |
| 39 | 120F-39 | 2 | |
| 40 | 120F-40 | 2 | |
| 41 | 120F-41 | 6 | |
| 42 | 120F-42 | 2 | |
| 43 | 120F-43 | 2 | |
| 44 | 120F-44 | 7 | 割問 |
| 45 | 120F-45 | 3 | 割問 |
| 46 | 120F-46 | 2 | |
| 47 | 120F-47 | 3 | |
| 48 | 120F-48 | 4 | |
| 49 | 120F-49 | 4 | |
| 50 | 120F-50 | 3 | |
| 51 | 120F-51 | 2 | |
| 52 | 120F-52 | 3 | |
| 53 | 120F-53 | 2 | |
| 54 | 120F-54 | 2 | |
| 55 | 120F-55 | 2 | |
| 56 | 120F-56 | 3 | |
| 57 | 120F-57 | 7 | 割問 |
| 58 | 120F-58 | 4 | |
| 59 | 120F-59 | 3 | |
| 60 | 120F-60 | 2 | |
| 61 | 120F-61 | 3 | |
| 62 | 120F-62 | 3 | |
| 63 | 120F-63 | 2 | |
| 64 | 120F-64 | 2 | |
| 65 | 120F-65 | 2 | |
| 66 | 120F-66 | 2 | |
| 67 | 120F-67 | 3 | |
| 68 | 120F-68 | 3 | |
| 69 | 120F-69 | 2 | |
| 70 | 120F-70 | 2 | |
| 71 | 120F-71 | 5 | |
| 72 | 120F-72 | 5 | |
| 73 | 120F-73 | 2 | |
| 74 | 120F-74 | 6 | 割問 |
| 75 | 120F-75 | 3 |

