D問題
| タイトル:120D-59 | コメント数:2 |
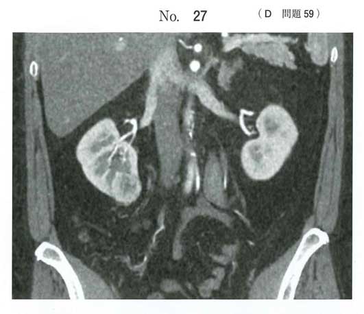
1: api
b
cT1aN0M0の腎細胞癌として腎部分切除術が第一選択かな
NCCNガイドラインではSBRTも選択に入っています
2: Dr.I
bです。
| 番号 | タイトル | コメント数 | |
|---|---|---|---|
| 1 | 120D-1 | 3 | |
| 2 | 120D-2 | 4 | |
| 3 | 120D-3 | 4 | |
| 4 | 120D-4 | 3 | 割問 |
| 5 | 120D-5 | 3 | |
| 6 | 120D-6 | 3 | |
| 7 | 120D-7 | 3 | 割問 |
| 8 | 120D-8 | 4 | |
| 9 | 120D-9 | 3 | |
| 10 | 120D-10 | 5 | 割問 |
| 11 | 120D-11 | 3 | |
| 12 | 120D-12 | 6 | 割問 |
| 13 | 120D-13 | 3 | |
| 14 | 120D-14 | 5 | |
| 15 | 120D-15 | 6 | |
| 16 | 120D-16 | 3 | 割問 |
| 17 | 120D-17 | 2 | |
| 18 | 120D-18 | 5 | |
| 19 | 120D-19 | 5 | |
| 20 | 120D-20 | 5 | 割問 |
| 21 | 120D-21 | 3 | |
| 22 | 120D-22 | 4 | |
| 23 | 120D-23 | 2 | |
| 24 | 120D-24 | 3 | |
| 25 | 120D-25 | 2 | |
| 26 | 120D-26 | 2 | |
| 27 | 120D-27 | 4 | |
| 28 | 120D-28 | 3 | |
| 29 | 120D-29 | 2 | チョイ割 |
| 30 | 120D-30 | 2 | |
| 31 | 120D-31 | 4 | 割問 |
| 32 | 120D-32 | 3 | |
| 33 | 120D-33 | 5 | |
| 34 | 120D-34 | 3 | |
| 35 | 120D-35 | 5 | |
| 36 | 120D-36 | 3 | |
| 37 | 120D-37 | 2 | |
| 38 | 120D-38 | 5 | 割問 |
| 39 | 120D-39 | 3 | 割問 |
| 40 | 120D-40 | 3 | |
| 41 | 120D-41 | 2 | |
| 42 | 120D-42 | 2 | |
| 43 | 120D-43 | 3 | |
| 44 | 120D-44 | 4 | 割問 |
| 45 | 120D-45 | 2 | チョイ割 |
| 46 | 120D-46 | 4 | |
| 47 | 120D-47 | 3 | |
| 48 | 120D-48 | 3 | |
| 49 | 120D-49 | 3 | |
| 50 | 120D-50 | 4 | |
| 51 | 120D-51 | 2 | 割問 |
| 52 | 120D-52 | 3 | 割問 |
| 53 | 120D-53 | 7 | 割問 |
| 54 | 120D-54 | 3 | |
| 55 | 120D-55 | 3 | |
| 56 | 120D-56 | 3 | |
| 57 | 120D-57 | 7 | |
| 58 | 120D-58 | 3 | |
| 59 | 120D-59 | 2 | |
| 60 | 120D-60 | 3 | チョイ割 |
| 61 | 120D-61 | 4 | |
| 62 | 120D-62 | 8 | 割問 |
| 63 | 120D-63 | 2 | |
| 64 | 120D-64 | 2 | |
| 65 | 120D-65 | 2 | |
| 66 | 120D-66 | 4 | |
| 67 | 120D-67 | 3 | |
| 68 | 120D-68 | 4 | |
| 69 | 120D-69 | 4 | |
| 70 | 120D-70 | 4 | |
| 71 | 120D-71 | 3 | |
| 72 | 120D-72 | 3 | |
| 73 | 120D-73 | 2 | |
| 74 | 120D-74 | 2 | |
| 75 | 120D-75 | 2 |

