F問題
| タイトル:119F-72 | コメント数:5 |
1: にっく
b
2: I
PCP
b
3:
b
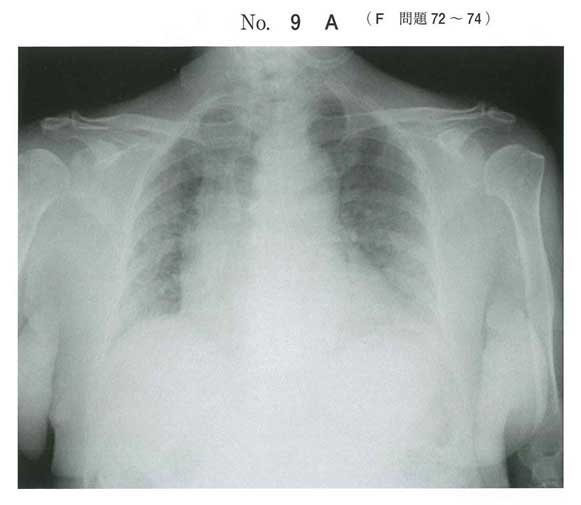
β-D-グルカン高値→真菌→グロコット染色
4: 専攻医まどか
真菌感染。んで、グロ染でdすなー
5: もち
ステロイド使うときはニューモシスチス注意ですな
バクタ内服してなかったのかな
| 番号 | タイトル | コメント数 | |
|---|---|---|---|
| 1 | 119F-1 | 2 | |
| 2 | 119F-2 | 2 | 割問 |
| 3 | 119F-3 | 1 | |
| 4 | 119F-4 | 2 | |
| 5 | 119F-5 | 2 | |
| 6 | 119F-6 | 4 | |
| 7 | 119F-7 | 1 | |
| 8 | 119F-8 | 2 | |
| 9 | 119F-9 | 7 | チョイ割 |
| 10 | 119F-10 | 1 | チョイ割 |
| 11 | 119F-11 | 2 | |
| 12 | 119F-12 | 2 | チョイ割 |
| 13 | 119F-13 | 3 | |
| 14 | 119F-14 | 4 | 割問 |
| 15 | 119F-15 | 1 | |
| 16 | 119F-16 | 4 | |
| 17 | 119F-17 | 3 | |
| 18 | 119F-18 | 1 | |
| 19 | 119F-19 | 4 | |
| 20 | 119F-20 | 3 | 割問 |
| 21 | 119F-21 | 2 | |
| 22 | 119F-22 | 3 | 割問 |
| 23 | 119F-23 | 3 | 割問 |
| 24 | 119F-24 | 6 | |
| 25 | 119F-25 | 4 | |
| 26 | 119F-26 | 5 | チョイ割 |
| 27 | 119F-27 | 2 | |
| 28 | 119F-28 | 2 | |
| 29 | 119F-29 | 2 | |
| 30 | 119F-30 | 3 | 割問 |
| 31 | 119F-31 | 3 | チョイ割 |
| 32 | 119F-32 | 3 | |
| 33 | 119F-33 | 2 | |
| 34 | 119F-34 | 2 | |
| 35 | 119F-35 | 2 | |
| 36 | 119F-36 | 2 | |
| 37 | 119F-37 | 3 | 割問 |
| 38 | 119F-38 | 2 | |
| 39 | 119F-39 | 4 | |
| 40 | 119F-40 | 2 | |
| 41 | 119F-41 | 2 | |
| 42 | 119F-42 | 2 | |
| 43 | 119F-43 | 2 | |
| 44 | 119F-44 | 3 | |
| 45 | 119F-45 | 2 | |
| 46 | 119F-46 | 1 | |
| 47 | 119F-47 | 1 | |
| 48 | 119F-48 | 3 | |
| 49 | 119F-49 | 3 | |
| 50 | 119F-50 | 4 | |
| 51 | 119F-51 | 3 | |
| 52 | 119F-52 | 3 | |
| 53 | 119F-53 | 3 | |
| 54 | 119F-54 | 3 | |
| 55 | 119F-55 | 3 | |
| 56 | 119F-56 | 4 | |
| 57 | 119F-57 | 4 | |
| 58 | 119F-58 | 1 | |
| 59 | 119F-59 | 2 | |
| 60 | 119F-60 | 1 | |
| 61 | 119F-61 | 1 | |
| 62 | 119F-62 | 2 | |
| 63 | 119F-63 | 2 | |
| 64 | 119F-64 | 3 | |
| 65 | 119F-65 | 3 | |
| 66 | 119F-66 | 4 | |
| 67 | 119F-67 | 4 | |
| 68 | 119F-68 | 6 | |
| 69 | 119F-69 | 10 | 割問 |
| 70 | 119F-70 | 4 | |
| 71 | 119F-71 | 8 | 割問 |
| 72 | 119F-72 | 5 | |
| 73 | 119F-73 | 4 | |
| 74 | 119F-74 | 3 | |
| 75 | 119F-75 | 18 | 注目 |



