E問題
| タイトル:119E-50 | コメント数:9 |
1: うちくるドクター
c
2: I
c
3: I
問題17は明確な難問、28は割問であったことが予想されます。
臨床問題は少し悩ましいものもありましたが、必修として標準程度の難易度であったように感じます。
4:
なぜ症状があるのに経過観察なの教えてえろいひと
5: 火鍋マニア
>なぜ症状があるのに経過観察なの教えてえろいひと
そう考えると不思議といえば不思議ではあります。
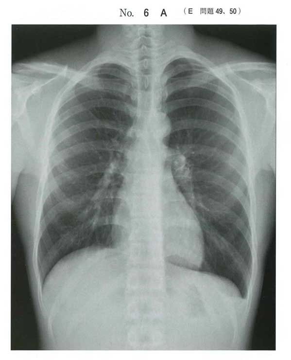
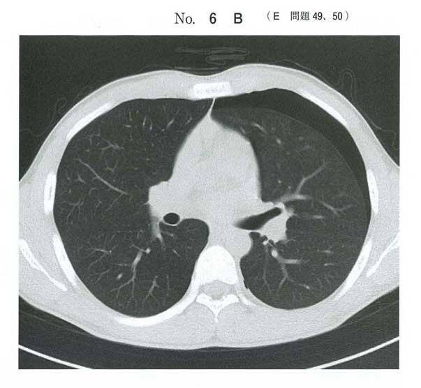
119D60(15問前!)では同じ気胸に対してドレナージを選ばせています。(外傷性であること、SpO2下がってて呼吸おかしくなる可能性高いからだとは思いますが。)
選択肢的にabdは気胸に治療ではない。eはやる可能性はあるにしてもドレナージして効果乏しければ実施。なのでドレナージか経過観察。
今回はそこまでひどい症状じゃないので経過観察かなと思いました。
6:
>大きな変化は認められなかった
ここで大丈夫ですよアピールしていますね
c 外来で経過観察
7:
昨日の今日でレントゲンの所見は変わらんです
c
8: まどかちゃん
変化ないなら
経過みてみな c
9: Dr KiKi
実臨床では大きな変化がなければ外来で経過観察しています.疼痛あればカロナール等を処方しております.
| 番号 | タイトル | コメント数 | |
|---|---|---|---|
| 1 | 119E-1 | 2 | チョイ割 |
| 2 | 119E-2 | 10 | |
| 3 | 119E-3 | 5 | チョイ割 |
| 4 | 119E-4 | 3 | |
| 5 | 119E-5 | 3 | |
| 6 | 119E-6 | 4 | |
| 7 | 119E-7 | 4 | |
| 8 | 119E-8 | 3 | |
| 9 | 119E-9 | 4 | |
| 10 | 119E-10 | 3 | |
| 11 | 119E-11 | 2 | |
| 12 | 119E-12 | 3 | |
| 13 | 119E-13 | 2 | |
| 14 | 119E-14 | 3 | |
| 15 | 119E-15 | 3 | |
| 16 | 119E-16 | 3 | |
| 17 | 119E-17 | 9 | チョイ割 |
| 18 | 119E-18 | 5 | |
| 19 | 119E-19 | 3 | |
| 20 | 119E-20 | 3 | |
| 21 | 119E-21 | 4 | |
| 22 | 119E-22 | 3 | |
| 23 | 119E-23 | 6 | |
| 24 | 119E-24 | 5 | |
| 25 | 119E-25 | 2 | |
| 26 | 119E-26 | 4 | |
| 27 | 119E-27 | 4 | |
| 28 | 119E-28 | 5 | チョイ割 |
| 29 | 119E-29 | 3 | |
| 30 | 119E-30 | 3 | |
| 31 | 119E-31 | 4 | |
| 32 | 119E-32 | 2 | |
| 33 | 119E-33 | 2 | |
| 34 | 119E-34 | 5 | |
| 35 | 119E-35 | 5 | |
| 36 | 119E-36 | 2 | |
| 37 | 119E-37 | 3 | |
| 38 | 119E-38 | 4 | |
| 39 | 119E-39 | 2 | |
| 40 | 119E-40 | 4 | |
| 41 | 119E-41 | 6 | |
| 42 | 119E-42 | 4 | |
| 43 | 119E-43 | 4 | |
| 44 | 119E-44 | 3 | |
| 45 | 119E-45 | 4 | |
| 46 | 119E-46 | 5 | |
| 47 | 119E-47 | 2 | |
| 48 | 119E-48 | 2 | |
| 49 | 119E-49 | 3 | |
| 50 | 119E-50 | 9 |



