C問題
| タイトル:117C-60 | コメント数:9 |
1: まさおくん
b, e
肺癌がありそうなのでSIADHかと思いますが、
それ以外に低Naをきたす異常がないかのcheckという問題でしょうか。
a, cはNaには関わりません。
dは比なので原発性アルドステロン症の鑑別になりますが、PAは低K。
低Naは来たしません。
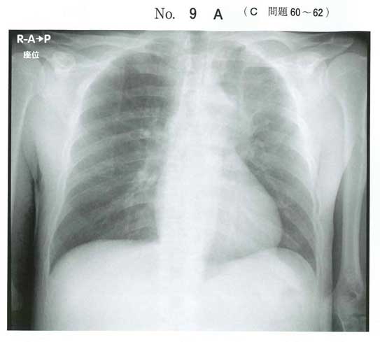
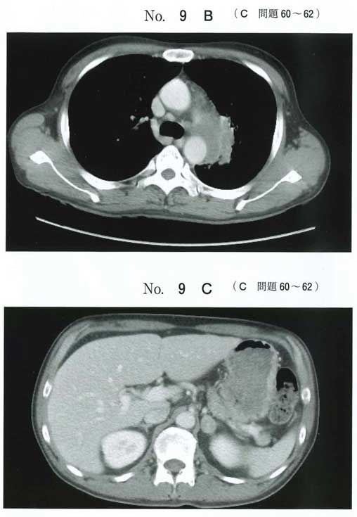
腹部CTは左の副腎に腺腫がありそうですが、肺癌転移の可能性も考慮しろってことですかね?
意図がよくわかりません。
2:
b,e
3: 都内内科専攻医
b,d
食思不振、倦怠感、低血圧、Na118、好酸球増多21%から副腎不全ぽいデータです。eCTで左副腎腫瘍ありそうです。左縦隔リンパ節腫脹とあわせると肺癌の副腎転移に伴う副腎不全でしょうか。ACTHとコルチゾールは必須ですが、SIADHの除外のためにレニンアルドステロンも提出してもいい気がします。(あとは副腎腫瘍の鑑別としてPAは上がるのでPAの除外のために)。治療はハイドロコートン点滴かと思います。
4: karina
Bd!
5: 総診後期研修
BE
カリウム異常なしで低Naの鑑別としてレニンアルドステロンを取る意味は不明。既往に高血圧はあるので高血圧治療開始前に欲を言えばレニンアルドステロン比を取るべきですが、本症例で今取るものかと言われるとNo。
Ca拮抗薬内服中のバイタル変動中のレニン・アルドステロン採血にどの程度意味があるのか。
そもそもとして問題文内の「電解質異常の鑑別に有用な」とあるのでDはないでしょう。
むしろ低Na血症で水過剰の尿中Na上昇例の鑑別として甲状腺機能低下の有無は確認しとくべしでしょう。食欲不振倦怠感の鑑別としても甲状腺確認は必須です。食欲不振例では電解質異常なくともよほどの否定所見ない限り、ACTHとTSHはもはや入院時でルーチンで取ってもいいレベルと考えます。
甲状腺腫を触知しないという所見が紛らわしいですがそれでも・・・
6:
BE
異所性ADH産生腫瘍は鑑別ですが、Vital異常や脱水傾向などある時点でSIADHを鑑別に入れるのは誤りです。
7: 都内内科専攻医
追記です
SIADHは除外診断でありレニンアルドステロン提出は理にかなってると思います
典型的な副腎不全のデータなのでSIADHは疑いませんが118のNaで血中浸透圧が低いわりに尿中浸透圧高く尿中ナトリウムもそれなりにでてるのでSIADHは除外しなければならないと思います(肺癌なので鑑別には上がるかと思います)
万が一SIADHならば水制限で効果に乏しければサムスカいれる根拠にもなりますので
そのような理由から甲状腺ホルモンよりもレニンアルドステロンを提出すべきかと思います
8:
この問題、MECはbdで出したようですね。
レニン・アルドステロン「値」ならわからなくもないですが
レニン・アルドステロン「比」を測る意味がありますかね…。
9: パワー
講師速報は解答をBEに修正
ここにいるお医者様方が解答割れてる時点で不適切問題にすべきでしょ
| 番号 | タイトル | コメント数 | |
|---|---|---|---|
| 1 | 117C-1 | 2 | |
| 2 | 117C-2 | 2 | |
| 3 | 117C-3 | 2 | |
| 4 | 117C-4 | 4 | |
| 5 | 117C-5 | 4 | |
| 6 | 117C-6 | 3 | |
| 7 | 117C-7 | 3 | |
| 8 | 117C-8 | 3 | |
| 9 | 117C-9 | 5 | 割問 |
| 10 | 117C-10 | 7 | 割問 |
| 11 | 117C-11 | 3 | |
| 12 | 117C-12 | 3 | |
| 13 | 117C-13 | 4 | |
| 14 | 117C-14 | 3 | |
| 15 | 117C-15 | 7 | 割問 |
| 16 | 117C-16 | 5 | |
| 17 | 117C-17 | 4 | |
| 18 | 117C-18 | 4 | |
| 19 | 117C-19 | 2 | |
| 20 | 117C-20 | 7 | |
| 21 | 117C-21 | 2 | |
| 22 | 117C-22 | 8 | チョイ割 |
| 23 | 117C-23 | 2 | |
| 24 | 117C-24 | 2 | |
| 25 | 117C-25 | 3 | |
| 26 | 117C-26 | 3 | |
| 27 | 117C-27 | 10 | 割問 |
| 28 | 117C-28 | 3 | |
| 29 | 117C-29 | 3 | |
| 30 | 117C-30 | 2 | |
| 31 | 117C-31 | 2 | |
| 32 | 117C-32 | 2 | |
| 33 | 117C-33 | 3 | 割問 |
| 34 | 117C-34 | 2 | |
| 35 | 117C-35 | 5 | 割問 |
| 36 | 117C-36 | 5 | |
| 37 | 117C-37 | 6 | |
| 38 | 117C-38 | 3 | |
| 39 | 117C-39 | 3 | |
| 40 | 117C-40 | 3 | |
| 41 | 117C-41 | 2 | |
| 42 | 117C-42 | 2 | |
| 43 | 117C-43 | 8 | |
| 44 | 117C-44 | 8 | チョイ割 |
| 45 | 117C-45 | 5 | |
| 46 | 117C-46 | 5 | |
| 47 | 117C-47 | 4 | |
| 48 | 117C-48 | 4 | 割問 |
| 49 | 117C-49 | 2 | |
| 50 | 117C-50 | 3 | |
| 51 | 117C-51 | 3 | |
| 52 | 117C-52 | 3 | |
| 53 | 117C-53 | 2 | |
| 54 | 117C-54 | 9 | 割問 |
| 55 | 117C-55 | 8 | チョイ割 |
| 56 | 117C-56 | 8 | 割問 |
| 57 | 117C-57 | 3 | |
| 58 | 117C-58 | 2 | |
| 59 | 117C-59 | 3 | |
| 60 | 117C-60 | 9 | |
| 61 | 117C-61 | 3 | |
| 62 | 117C-62 | 3 | |
| 63 | 117C-63 | 2 | |
| 64 | 117C-64 | 3 | |
| 65 | 117C-65 | 5 | |
| 66 | 117C-66 | 4 | |
| 67 | 117C-67 | 5 | 割問 |
| 68 | 117C-68 | 3 | |
| 69 | 117C-69 | 2 | |
| 70 | 117C-70 | 8 | 割問 |
| 71 | 117C-71 | 2 | |
| 72 | 117C-72 | 3 | |
| 73 | 117C-73 | 3 | |
| 74 | 117C-74 | 2 | |
| 75 | 117C-75 | 4 |



