C問題
| タイトル:117C-56 | コメント数:8 | 割問 |
1: 研修医きゅん
こんなん尿カテでしょ
2:
c
3:
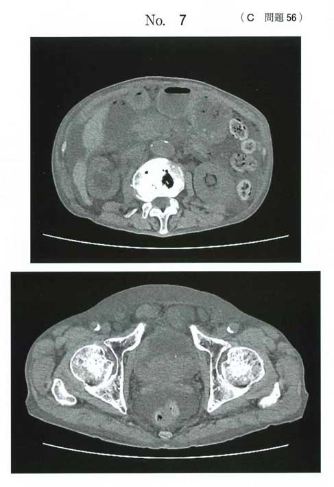
泌尿器科医です。正解はb.腎瘻造設術です。
CTで両側水腎症、膀胱腫瘍を認めます。
膀胱癌による両側上部尿路閉塞からの急性腎後性腎障害です。
下部尿路閉塞ではないので、c.尿道カテーテル留置は無効です。腫瘍への機械的刺激により血尿を再燃させるリスクがあります。
d.膀胱瘻は腫瘍を穿刺し得るため禁忌です。
まだCr値は緊急透析の適応ではなく、尿路閉塞の解除で腎機能改善が期待できます。
4:
膀胱拡張も目立たないしbでしょ
5: karina
C!
6:
泌尿器科医です。b,cで割れているようですね。
実際に時間的には尿道カテが先に留置されることはあります。先に泌尿器科医がみれば入れないでしょう(入れるときもありますが)。
しかし↑にもあるとおり、腫瘍への機械的刺激による血尿増悪も懸念されますし、現状をまったく改善しないので医学的な必要性は低いです。
作者の意図も読んでb.腎瘻です。
7:
他臓器近くて怖いけどB
8: 松喜かおり
メック松喜です。
正答:b
CT所見:膀胱腫瘍と両側水腎症が認められる。
膀胱癌に伴う両側尿管閉塞による急性腎不全(腎後性)と考えられる。このため膀胱へのアプローチは無意味である。腎瘻造設を行う。
なおCT所見としては、腹水・皮下や後腹膜の浮腫・宿便もみられます。
| 番号 | タイトル | コメント数 | |
|---|---|---|---|
| 1 | 117C-1 | 2 | |
| 2 | 117C-2 | 2 | |
| 3 | 117C-3 | 2 | |
| 4 | 117C-4 | 4 | |
| 5 | 117C-5 | 4 | |
| 6 | 117C-6 | 3 | |
| 7 | 117C-7 | 3 | |
| 8 | 117C-8 | 3 | |
| 9 | 117C-9 | 5 | 割問 |
| 10 | 117C-10 | 7 | 割問 |
| 11 | 117C-11 | 3 | |
| 12 | 117C-12 | 3 | |
| 13 | 117C-13 | 4 | |
| 14 | 117C-14 | 3 | |
| 15 | 117C-15 | 7 | 割問 |
| 16 | 117C-16 | 5 | |
| 17 | 117C-17 | 4 | |
| 18 | 117C-18 | 4 | |
| 19 | 117C-19 | 2 | |
| 20 | 117C-20 | 7 | |
| 21 | 117C-21 | 2 | |
| 22 | 117C-22 | 8 | チョイ割 |
| 23 | 117C-23 | 2 | |
| 24 | 117C-24 | 2 | |
| 25 | 117C-25 | 3 | |
| 26 | 117C-26 | 3 | |
| 27 | 117C-27 | 10 | 割問 |
| 28 | 117C-28 | 3 | |
| 29 | 117C-29 | 3 | |
| 30 | 117C-30 | 2 | |
| 31 | 117C-31 | 2 | |
| 32 | 117C-32 | 2 | |
| 33 | 117C-33 | 3 | 割問 |
| 34 | 117C-34 | 2 | |
| 35 | 117C-35 | 5 | 割問 |
| 36 | 117C-36 | 5 | |
| 37 | 117C-37 | 6 | |
| 38 | 117C-38 | 3 | |
| 39 | 117C-39 | 3 | |
| 40 | 117C-40 | 3 | |
| 41 | 117C-41 | 2 | |
| 42 | 117C-42 | 2 | |
| 43 | 117C-43 | 8 | |
| 44 | 117C-44 | 8 | チョイ割 |
| 45 | 117C-45 | 5 | |
| 46 | 117C-46 | 5 | |
| 47 | 117C-47 | 4 | |
| 48 | 117C-48 | 4 | 割問 |
| 49 | 117C-49 | 2 | |
| 50 | 117C-50 | 3 | |
| 51 | 117C-51 | 3 | |
| 52 | 117C-52 | 3 | |
| 53 | 117C-53 | 2 | |
| 54 | 117C-54 | 9 | 割問 |
| 55 | 117C-55 | 8 | チョイ割 |
| 56 | 117C-56 | 8 | 割問 |
| 57 | 117C-57 | 3 | |
| 58 | 117C-58 | 2 | |
| 59 | 117C-59 | 3 | |
| 60 | 117C-60 | 9 | |
| 61 | 117C-61 | 3 | |
| 62 | 117C-62 | 3 | |
| 63 | 117C-63 | 2 | |
| 64 | 117C-64 | 3 | |
| 65 | 117C-65 | 5 | |
| 66 | 117C-66 | 4 | |
| 67 | 117C-67 | 5 | 割問 |
| 68 | 117C-68 | 3 | |
| 69 | 117C-69 | 2 | |
| 70 | 117C-70 | 8 | 割問 |
| 71 | 117C-71 | 2 | |
| 72 | 117C-72 | 3 | |
| 73 | 117C-73 | 3 | |
| 74 | 117C-74 | 2 | |
| 75 | 117C-75 | 4 |

