C問題
| タイトル:114C-42 | コメント数:3 |
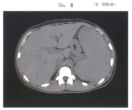
1:
a
2: おすぬ
脾腫
マルクしてとまつひょうほんみる感じかなぁ
3: 血栓止血屋
CMPDは明らか。脾腫がありCMLの可能性が高いが、骨髄穿刺と併せてph1の有無見る必要性あり。aかな。ph1陰性であればJACK1,CALRを見てね
| 番号 | タイトル | コメント数 | |
|---|---|---|---|
| 1 | 114C-1 | 6 | 割問 |
| 2 | 114C-2 | 4 | |
| 3 | 114C-3 | 7 | 割問 |
| 4 | 114C-4 | 4 | |
| 5 | 114C-5 | 4 | |
| 6 | 114C-6 | 3 | |
| 7 | 114C-7 | 3 | |
| 8 | 114C-8 | 3 | |
| 9 | 114C-9 | 6 | |
| 10 | 114C-10 | 2 | |
| 11 | 114C-11 | 6 | |
| 12 | 114C-12 | 2 | |
| 13 | 114C-13 | 4 | |
| 14 | 114C-14 | 2 | |
| 15 | 114C-15 | 5 | |
| 16 | 114C-16 | 3 | |
| 17 | 114C-17 | 2 | |
| 18 | 114C-18 | 5 | チョイ割 |
| 19 | 114C-19 | 2 | |
| 20 | 114C-20 | 9 | 割問 |
| 21 | 114C-21 | 4 | |
| 22 | 114C-22 | 2 | |
| 23 | 114C-23 | 4 | |
| 24 | 114C-24 | 4 | |
| 25 | 114C-25 | 4 | |
| 26 | 114C-26 | 5 | |
| 27 | 114C-27 | 1 | |
| 28 | 114C-28 | 1 | |
| 29 | 114C-29 | 1 | |
| 30 | 114C-30 | 1 | |
| 31 | 114C-31 | 3 | |
| 32 | 114C-32 | 8 | 割問 |
| 33 | 114C-33 | 2 | 割問 |
| 34 | 114C-34 | 5 | 割問 |
| 35 | 114C-35 | 7 | |
| 36 | 114C-36 | 3 | |
| 37 | 114C-37 | 3 | 割問 |
| 38 | 114C-38 | 4 | 割問 |
| 39 | 114C-39 | 2 | |
| 40 | 114C-40 | 3 | |
| 41 | 114C-41 | 5 | |
| 42 | 114C-42 | 3 | |
| 43 | 114C-43 | 4 | |
| 44 | 114C-44 | 5 | |
| 45 | 114C-45 | 7 | |
| 46 | 114C-46 | 3 | |
| 47 | 114C-47 | 2 | |
| 48 | 114C-48 | 7 | 割問 |
| 49 | 114C-49 | 3 | |
| 50 | 114C-50 | 1 | |
| 51 | 114C-51 | 3 | |
| 52 | 114C-52 | 2 | |
| 53 | 114C-53 | 3 | |
| 54 | 114C-54 | 4 | |
| 55 | 114C-55 | 2 | |
| 56 | 114C-56 | 4 | チョイ割 |
| 57 | 114C-57 | 5 | |
| 58 | 114C-58 | 3 | |
| 59 | 114C-59 | 1 | チョイ割 |
| 60 | 114C-60 | 5 | |
| 61 | 114C-61 | 10 | 割問 注目 |
| 62 | 114C-62 | 8 | チョイ割 |
| 63 | 114C-63 | 6 | |
| 64 | 114C-64 | 8 | チョイ割 |
| 65 | 114C-65 | 5 | |
| 66 | 114C-66 | 4 | |
| 67 | 114C-67 | 2 | |
| 68 | 114C-68 | 4 | |
| 69 | 114C-69 | 10 | 割問 注目 |
| 70 | 114C-70 | 3 | |
| 71 | 114C-71 | 2 | |
| 72 | 114C-72 | 4 | |
| 73 | 114C-73 | 2 | |
| 74 | 114C-74 | 2 | |
| 75 | 114C-75 | 2 |

