D問題
| タイトル:110D-36 | コメント数:16 | チョイ割 注目 |
1: pia
a グリブラ
CTではring enhancement,内部壊死のため内側の辺縁は不整となる
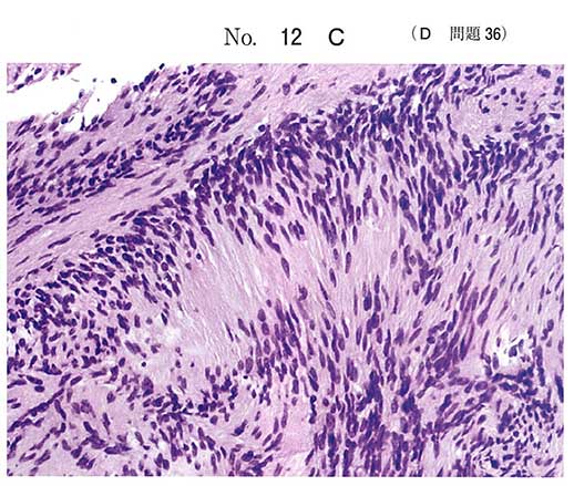
病理ではpsuedopalisade
2: Kk
Dかな
3:
Glioblastomaだと思うけどよく4年も生きてるな
4: ks
辺縁不整だから膠芽腫でokか
5: OGA
d
6: megu
dですかね
7:
グリブラじゃないですね。失礼しました。
病理もAntoni Aなどから神経鞘腫ですね!
8: jms78033
病理は神経鞘腫の典型像です。Antoni Aですね。でも何より、骨状件のCTで右内耳道の漏斗状拡大があり、増強画像で小脳橋角部の内耳道につながる腫瘍ですので、dを選択できないといけません。嚢胞性の神経鞘腫です。うちの学生はできただろうか・・・
9:
病理コア画像の膠芽腫の頁に索状配列があったを思い出してaにしてしまった。
脳腫瘍はやっぱり病歴重視の方が点が取れるのか…
10: K
聴神経鞘腫もよく嚢胞形成をするという記述が標準放射線医学にあったのを思い出しつつも、なんとなく似てるような気がしてグリブラを選んでしまいました。。。
神経鞘腫の病理をみたところ、神経鞘腫っぽい気がしてきました
しかもグリブラの好発部位ってやっぱり大脳半球ですよね
11: ゼンラーマン
aにした人は落ち込まなくていいでしょう。
国試テクニックのリング=メタ、こうが、膿瘍
→膿瘍なら発熱etcが、メタなら多臓器の腫瘍を疑う初見が、症例文にあるはず
・・・をちゃんと使えたんだから。
みんこれ統計もaになってる
むしろ、(自身をもって答えられた人はともかく)何となくでbにした人の方が試験的には危ない
12: ん?
これはグリブラじゃないですよ
病理で一発診断ですな
D一択
13: 孤高
まったく同じ病理図と小脳橋角病変の画像とセットで学内試験で見ていて助かりました。
その時もリング状エンハンスでaを選んだ人が圧倒的に多く、小脳橋角病変は神経鞘腫と髄膜腫を思い出すようしてたので助かりました。
d
14:
「4年前からの聴力低下、次第に増悪」て設定で悪性腫瘍を選んだ奴はセンスなさ過ぎるだろw
15: sr
d
病理でpalisadingとVerocay bodyを見せてます。
好酸性線維状胞体と桿状核を有する腫瘍細胞が束をなして増殖する神経鞘腫の像。
16: gs
d
主訴と経過から聴神経腫瘍(神経鞘腫)かなと。画像から小脳橋角部腫瘍と言ったら髄膜腫か神経鞘腫。明らかに髄膜腫ではないから神経鞘腫。で選びました。病理所見は知りませんでした汗。国試テクのringを覚えるなら、小脳橋角部腫瘍もテクとして覚えとくといいでしょう。
| 番号 | タイトル | コメント数 | |
|---|---|---|---|
| 1 | 110D-1 | 6 | |
| 2 | 110D-2 | 7 | |
| 3 | 110D-3 | 6 | |
| 4 | 110D-4 | 8 | |
| 5 | 110D-5 | 7 | チョイ割 |
| 6 | 110D-6 | 11 | |
| 7 | 110D-7 | 6 | |
| 8 | 110D-8 | 7 | チョイ割 |
| 9 | 110D-9 | 6 | |
| 10 | 110D-10 | 5 | |
| 11 | 110D-11 | 10 | チョイ割 |
| 12 | 110D-12 | 7 | チョイ割 |
| 13 | 110D-13 | 10 | |
| 14 | 110D-14 | 5 | |
| 15 | 110D-15 | 15 | 割問 注目 |
| 16 | 110D-16 | 12 | |
| 17 | 110D-17 | 6 | |
| 18 | 110D-18 | 11 | 割問 |
| 19 | 110D-19 | 10 | 割問 |
| 20 | 110D-20 | 10 | |
| 21 | 110D-21 | 7 | |
| 22 | 110D-22 | 6 | |
| 23 | 110D-23 | 7 | |
| 24 | 110D-24 | 16 | チョイ割 注目 |
| 25 | 110D-25 | 8 | |
| 26 | 110D-26 | 29 | 割問 注目 |
| 27 | 110D-27 | 8 | 割問 |
| 28 | 110D-28 | 9 | |
| 29 | 110D-29 | 10 | |
| 30 | 110D-30 | 10 | |
| 31 | 110D-31 | 6 | |
| 32 | 110D-32 | 11 | |
| 33 | 110D-33 | 16 | 注目 |
| 34 | 110D-34 | 8 | |
| 35 | 110D-35 | 8 | |
| 36 | 110D-36 | 16 | チョイ割 注目 |
| 37 | 110D-37 | 11 | |
| 38 | 110D-38 | 11 | |
| 39 | 110D-39 | 8 | チョイ割 |
| 40 | 110D-40 | 9 | |
| 41 | 110D-41 | 9 | |
| 42 | 110D-42 | 6 | |
| 43 | 110D-43 | 14 | |
| 44 | 110D-44 | 6 | |
| 45 | 110D-45 | 43 | 割問 注目 |
| 46 | 110D-46 | 8 | |
| 47 | 110D-47 | 5 | |
| 48 | 110D-48 | 7 | |
| 49 | 110D-49 | 4 | |
| 50 | 110D-50 | 6 | |
| 51 | 110D-51 | 6 | |
| 52 | 110D-52 | 13 | |
| 53 | 110D-53 | 12 | 割問 |
| 54 | 110D-54 | 4 | |
| 55 | 110D-55 | 28 | 割問 注目 |
| 56 | 110D-56 | 5 | |
| 57 | 110D-57 | 4 | |
| 58 | 110D-58 | 8 | チョイ割 |
| 59 | 110D-59 | 20 | チョイ割 注目 |
| 60 | 110D-60 | 3 |



