D問題
| タイトル:110D-22 | コメント数:6 |
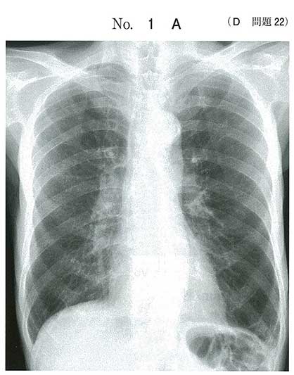
1: Dr.@
e
画像グラム陰性球菌なので、この中だとモラクセラが該当すると思います。
2:
GNCなのでeだね。
残りはGPC
3: ks
GNC e
4: megu
良問ですね。GNCでe
ご丁寧に他をGPCで揃えているのも良問
5: JT
E!
6: ゼンラーマン
e
これも、TECOMラストV
| 番号 | タイトル | コメント数 | |
|---|---|---|---|
| 1 | 110D-1 | 6 | |
| 2 | 110D-2 | 7 | |
| 3 | 110D-3 | 6 | |
| 4 | 110D-4 | 8 | |
| 5 | 110D-5 | 7 | チョイ割 |
| 6 | 110D-6 | 11 | |
| 7 | 110D-7 | 6 | |
| 8 | 110D-8 | 7 | チョイ割 |
| 9 | 110D-9 | 6 | |
| 10 | 110D-10 | 5 | |
| 11 | 110D-11 | 10 | チョイ割 |
| 12 | 110D-12 | 7 | チョイ割 |
| 13 | 110D-13 | 10 | |
| 14 | 110D-14 | 5 | |
| 15 | 110D-15 | 15 | 割問 注目 |
| 16 | 110D-16 | 12 | |
| 17 | 110D-17 | 6 | |
| 18 | 110D-18 | 11 | 割問 |
| 19 | 110D-19 | 10 | 割問 |
| 20 | 110D-20 | 10 | |
| 21 | 110D-21 | 7 | |
| 22 | 110D-22 | 6 | |
| 23 | 110D-23 | 7 | |
| 24 | 110D-24 | 16 | チョイ割 注目 |
| 25 | 110D-25 | 8 | |
| 26 | 110D-26 | 29 | 割問 注目 |
| 27 | 110D-27 | 8 | 割問 |
| 28 | 110D-28 | 9 | |
| 29 | 110D-29 | 10 | |
| 30 | 110D-30 | 10 | |
| 31 | 110D-31 | 6 | |
| 32 | 110D-32 | 11 | |
| 33 | 110D-33 | 16 | 注目 |
| 34 | 110D-34 | 8 | |
| 35 | 110D-35 | 8 | |
| 36 | 110D-36 | 16 | チョイ割 注目 |
| 37 | 110D-37 | 11 | |
| 38 | 110D-38 | 11 | |
| 39 | 110D-39 | 8 | チョイ割 |
| 40 | 110D-40 | 9 | |
| 41 | 110D-41 | 9 | |
| 42 | 110D-42 | 6 | |
| 43 | 110D-43 | 14 | |
| 44 | 110D-44 | 6 | |
| 45 | 110D-45 | 43 | 割問 注目 |
| 46 | 110D-46 | 8 | |
| 47 | 110D-47 | 5 | |
| 48 | 110D-48 | 7 | |
| 49 | 110D-49 | 4 | |
| 50 | 110D-50 | 6 | |
| 51 | 110D-51 | 6 | |
| 52 | 110D-52 | 13 | |
| 53 | 110D-53 | 12 | 割問 |
| 54 | 110D-54 | 4 | |
| 55 | 110D-55 | 28 | 割問 注目 |
| 56 | 110D-56 | 5 | |
| 57 | 110D-57 | 4 | |
| 58 | 110D-58 | 8 | チョイ割 |
| 59 | 110D-59 | 20 | チョイ割 注目 |
| 60 | 110D-60 | 3 |


