I問題
| タイトル:108I-79 | コメント数:31 | チョイ割 注目 |
1: dapo
AE
感染を契機にしたしたCOPDの急性増悪
2:
これcって禁忌ではないですよね?
3:
PaCO2 PaO2 呼吸困難の増悪より人工換気適応。
AC
4:
acにしたが自信はない
気胸じゃないよな…
5:
普通に意識あるのに強制換気とかわいそうだね
6: is
ad
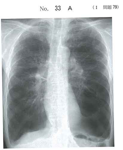
胸部x線で縦隔変位、左下肺野の血管陰影の欠損でCOPDから左気胸と考えましたが、
気胸は起きてないです?
7: 坂田
#肺炎
#COPD 慢性呼吸不全
ae
人工呼吸ではなくNIPPVなら良さそう
左下は巨大ブラ?
8:
気胸ぽいなぁと思ってギリギリの時間まで抗菌薬かドレナージか迷いました。偏位はしているけど、気胸っぽいエピソードはないし…
9: ポッキーさん
人工呼吸の前に酸素投与かなと思いaeにしました。
10:
copdの急性増悪でしょ
ABCアプローチで
aeでしょ
11: k
CO2ナルコーシス
さすがにPaO2:48は脳が危ない。挿管。
ac
12:
これも、気管支拡張薬じゃなくて抗コリン薬、β2刺激薬、テオフィリンって書いてあったらCOPDの治療薬として選べた人もっと多かったんじゃないかな。今更だけど薬の勉強しっかりやらないとなあ…
呼吸困難感はあるものの意識清明なあたり侵襲性のある換気は出来そうもありません
13:
感染契機に高CO2血症が元々よりは悪化したものの意識はまだ保たれている。鎮静かけて挿管するのかなあ?
14:
Ae
最初はnppvだからCはないでしょ
15: ケモナー研修医
ae
COPDの急性増悪で最初にすることだからなあ
16: 医大生
答えはaeで間違いないと思います。
これってcとdは禁忌選択肢になりえますかね?
17: ken
この問題で禁忌はないでしょう。あったらみんな踏みまくってると思います。
18:
今回のガチ禁忌は最後の問題の生検くらいですかね
19:
沈静して挿管じゃないですかね?ac
20: 運営管理委員会
◆iCrip 速報掲示板 運営管理委員会◆
aeが最も多いようですが、acの回答もやや多くなっています
21: ちくぽん
AE以外あり得ない
22: j
いきなり人工呼吸管理することはかんがえづらいので、aeかと思います。
左肺にあるのはジャイアントブラかと思われるので、ドレナージというか、穿刺は禁忌に近いです。
23: fa
低酸素・高二酸化炭素を改善しないとまず抗菌薬に行き着かないと思ったのに・・・
24: 1年目
X2に禁忌はありません
25: ヘボ学生
COPD急性増悪のABC(antibiotics, bronchodilators and corticosteroids)を知っているかどうか。
107A57、つまり去年の過去問をやっていた人はできたと思う。
この時の選択肢はa, e がまるっきり同じで正解。bが胸腔ドレナージ、cが免疫抑制剤、dが高濃度酸素の投与でナルコーシスを考えて避けるべき選択肢だった。
26:
急性呼吸不全では意識障害がある他、PaO250が人口換気開始の目安となります。
現段階では意識清明と書かれていますが、このままでは低酸素脳症、CO2ナルコーシスとなる危険性が極めて高いので一刻も早く挿管(侵襲的陽圧換気)を開始するべきだと思います。
27:
急性呼吸不全では意識障害がある他、PaO260以下、PaCO250以上が人口換気開始の目安となります。
現段階では意識清明と書かれていますが、このままでは低酸素脳症、CO2ナルコーシスとなる危険性が極めて高いので一刻も早く挿管(侵襲的陽圧換気)を開始するべきだと思います。
28:
気胸はあるのでは?だからad
29:
ガイドラインくらい読みませんか?
ae
30:
去年の問題そんままなのに割れてるとは。aeですね。
31: kc
a,eでしょう。
気管挿管とか論外。文章からしてwalk inでの受診だし、低酸素、高炭酸ガス血症は慢性の経過。意識は清明だし、挿管とか臨床やってたら普通はしない。
| 番号 | タイトル | コメント数 | |
|---|---|---|---|
| 1 | 108I-1 | 5 | 割問 |
| 2 | 108I-2 | 23 | 割問 注目 |
| 3 | 108I-3 | 5 | チョイ割 |
| 4 | 108I-4 | 4 | |
| 5 | 108I-5 | 3 | |
| 6 | 108I-6 | 2 | |
| 7 | 108I-7 | 3 | |
| 8 | 108I-8 | 2 | |
| 9 | 108I-9 | 3 | |
| 10 | 108I-10 | 3 | |
| 11 | 108I-11 | 5 | チョイ割 |
| 12 | 108I-12 | 3 | |
| 13 | 108I-13 | 5 | チョイ割 |
| 14 | 108I-14 | 3 | |
| 15 | 108I-15 | 8 | |
| 16 | 108I-16 | 6 | 割問 |
| 17 | 108I-17 | 3 | |
| 18 | 108I-18 | 16 | 注目 |
| 19 | 108I-19 | 3 | |
| 20 | 108I-20 | 39 | 割問 注目 |
| 21 | 108I-21 | 4 | |
| 22 | 108I-22 | 3 | |
| 23 | 108I-23 | 4 | |
| 24 | 108I-24 | 16 | 割問 注目 |
| 25 | 108I-25 | 4 | チョイ割 |
| 26 | 108I-26 | 5 | |
| 27 | 108I-27 | 4 | |
| 28 | 108I-28 | 5 | |
| 29 | 108I-29 | 2 | |
| 30 | 108I-30 | 3 | |
| 31 | 108I-31 | 1 | |
| 32 | 108I-32 | 11 | 割問 注目 |
| 33 | 108I-33 | 3 | チョイ割 |
| 34 | 108I-34 | 2 | |
| 35 | 108I-35 | 24 | 割問 注目 |
| 36 | 108I-36 | 3 | |
| 37 | 108I-37 | 5 | チョイ割 |
| 38 | 108I-38 | 1 | |
| 39 | 108I-39 | 10 | 注目 |
| 40 | 108I-40 | 2 | |
| 41 | 108I-41 | 3 | |
| 42 | 108I-42 | 2 | |
| 43 | 108I-43 | 3 | |
| 44 | 108I-44 | 2 | |
| 45 | 108I-45 | 2 | |
| 46 | 108I-46 | 20 | 注目 |
| 47 | 108I-47 | 2 | |
| 48 | 108I-48 | 28 | 割問 注目 |
| 49 | 108I-49 | 1 | |
| 50 | 108I-50 | 17 | 注目 |
| 51 | 108I-51 | 2 | 注目 |
| 52 | 108I-52 | 5 | |
| 53 | 108I-53 | 1 | |
| 54 | 108I-54 | 9 | 割問 |
| 55 | 108I-55 | 3 | |
| 56 | 108I-56 | 3 | |
| 57 | 108I-57 | 16 | 注目 |
| 58 | 108I-58 | 8 | 割問 |
| 59 | 108I-59 | 21 | 割問 注目 |
| 60 | 108I-60 | 3 | |
| 61 | 108I-61 | 12 | 注目 |
| 62 | 108I-62 | 15 | 割問 注目 |
| 63 | 108I-63 | 2 | |
| 64 | 108I-64 | 3 | |
| 65 | 108I-65 | 2 | |
| 66 | 108I-66 | 10 | チョイ割 注目 |
| 67 | 108I-67 | 35 | 割問 注目 |
| 68 | 108I-68 | 4 | |
| 69 | 108I-69 | 21 | 割問 注目 |
| 70 | 108I-70 | 4 | |
| 71 | 108I-71 | 44 | 割問 注目 |
| 72 | 108I-72 | 7 | |
| 73 | 108I-73 | 4 | |
| 74 | 108I-74 | 4 | |
| 75 | 108I-75 | 4 | |
| 76 | 108I-76 | 5 | |
| 77 | 108I-77 | 4 | チョイ割 |
| 78 | 108I-78 | 16 | 割問 注目 |
| 79 | 108I-79 | 31 | チョイ割 注目 |
| 80 | 108I-80 | 15 | 注目 |


